Diagnozowanie chorób metabolicznych
Otyłość, cukrzyca, dna moczanowa, choroby tarczycy – co łączy te tak odległe jednostki chorobowe? Dlaczego zostały wymienione jednym tchem? Dlatego, bo nie wynikają z zakażenia czy też urazu, jakiemu został poddany organizm. Dlatego, gdyż wszystkie związane są z nieprawidłowościami przemiany materii – wadami metabolizmu. Dlatego, iż ich wspólna, choć bardzo ogólna nazwa brzmi – choroby metaboliczne.
Stały, podniesiony poziom glukozy w krwi i niebezpieczne dla życia, gwałtowne skoki stężenia glukozy – to cukrzyca, często dramatyczna konsekwencja nadmiernej otyłości i braku aktywności fizycznej. A finał? Uszkodzenia nerek, układu krążenia, wzroku, amputacja nóg z powodu stopy cukrzycowej ? Dna moczanowa – choroba metaboliczna prowadząca do powstawania złogów kryształów moczanowych uszkadzających stawy – to nic innego jak inna nazwa podagry – opromienionej ponurą sławą choroby dżentelmenów i piratów, która swoje ofiary doprowadzała do szaleństwa nagłymi paroksyzmami bólu. Kretynizm wiążący się z wolem, kiedyś często opisywany u ludzi mieszkających w terenach podgórskich, nadpobudliwi cholerycy z wytrzeszczonymi oczami – to ofiary złego funkcjonowania tarczycy, gruczołu, którego hormony wpływają na metabolizm prawie wszystkich komórek naszego organizmu.
Otyłość
To zaburzenie przemiany materii spowodowane między innymi nadmierną podażą energii (kalorii) zawartej w pokarmach w stosunku do zapotrzebowania organizmu. W efekcie dochodzi do zwiększenia magazynowania nadmiaru energii w postaci tkanki tłuszczowej. Zatem zjadając więcej niż potrzebujemy, magazynujemy nadmiar dostarczonych kalorii w postaci tłuszczu. Nie chodzi tu tylko o spożywanie tłustych potraw, ale także produktów wysoce przetworzonych, cukrów prostych, słodyczy i słodkich napojów. Otyłość jest zagrożeniem dla naszego zdrowia i życia, gdyż zwiększa ryzyko nadciśnienia, choroby wieńcowej, żylaków, udaru mózgu, nowotworów, niepłodności, a nawet chorób psychicznych. Badania przeprowadzone przez Światową Organizację Zdrowia pokazały, że problem nadwagi dotyczy 50-75% populacji kobiet i mężczyzn.
Jak samemu sprawdzić czy nie jesteśmy już otyli?
Aby uniknąć otyłości lub przynajmniej oceniać jej narastanie należy oprócz regularnej kontroli wagi i stałego pomiaru ciśnienia określać także swój:
1. Współczynnik masy ciała, BMI (ang. Body Mass Index), który odnosi wzrost do masy ciała. Jest stosunkiem masy ciała w kilogramach do wysokości w metrach podniesionych do kwadratu. Prawidłowa wartość BMI wynosi 18,5-24,9. Wartość 25-29,9 wskazuje na nadwagę, natomiast wartość BMI przekraczająca 30 mówi już o otyłości.
2. Wskaźnik WHR (ang. waist-hip ratio), stosunek obwodu talii do obwodu bioder, który służy do określenia rozmieszczenia tkanki tłuszczowej i typu otyłości. Otyłość brzuszna to otyłość typu męskiego, androidalna tzw. ?jabłuszko?. Towarzyszy jej większe ryzyko wystąpienia zaburzeń metabolicznych, nadciśnienia, choroby wieńcowej, a także cukrzycy i niepłodności u kobiet i mężczyzn. Inną jest otyłość kobieca, gynoidalna tzw. ?gruszka?, która polega na zlokalizowaniu tkanki tłuszczowej w okolicy bioder i pośladków. Otyłość typu męskiego stwierdzana jest przy WHR>1.00 u mężczyzn lub WHR>0.80 u kobiet, natomiast otyłość kobieca przy WHR<0.50 u mężczyzn i WHR<0.80 u kobiet.3. Poziom tkanki tłuszczowej, który możemy mierzyć w domu za pomocą prostych przyrządów lub bardziej zaawansowanymi aparatami w placówkach służby zdrowia. W warunkach prawidłowych tłuszcz stanowi około 15% masy ciała. O otyłości mówimy wówczas, gdy tkanka tłuszczowa stanowi więcej niż 25% masy ciała u mężczyzn i 30% masy ciała u kobiet. CukrzycaTo choroba metaboliczna spowodowana brakiem lub nieprawidłowym działaniem insuliny (hormonu wydzielanego przez trzustkę) z przewlekłym, wysokim stężeniem glukozy we krwi (hiperglikemią). Wykorzystanie glukozy jako źródła energii wymaga odpowiedniej ilości prawidłowo działającej insuliny. Cukrzyca typu 1 wynika ze zniszczenia komórek trzustki wytwarzających insulinę, przez mechanizmy autoimmunizacyjne organizmu (agresję wobec własnych tkanek), co prowadzi do bezwzględnego niedoboru insuliny. Cukrzyca typu 2, która stanowi do 95% wszystkich przypadków cukrzycy, spowodowana jest niewrażliwością organizmu na wytwarzaną przez siebie insulinę, a w mniejszym zakresie niedoborem insuliny.
Objawy, które wskazują na możliwość rozwoju cukrzycy to stałe uczucie pragnienia, częste oddawanie moczu (wielomocz), utrata masy ciała, zwiększony apetyt (napady ?wilczego? głodu), senność, ogólne osłabienie, stany zapalne narządów moczowo-płciowych (często odczuwane jako swędzenie w okolicy intymnych okolic ciała), a także zmiany skórne (np. niegojące się nadżerki i pęknięcia śluzówki narządów płciowych).Trzeba pamiętać, że cukrzyca przyśpiesza miażdżycę, która należy do mechanizmów leżących u podstaw choroby niedokrwiennej serca, jej dramatycznego wariantu w postaci zawału mięśnia sercowego, udaru mózgu i choroby naczyniowej kończyn dolnych. W Polsce zanotowanych jest 2,5 mln chorych na cukrzycę i dwa razy tyle ze stanem przed cukrzycowym, co powoduje, że prawie 8 milionów naszych rodaków dotkniętych jest problemem zaburzeń gospodarki węglowodanowej ustroju. Przyczyną tego stanu rzeczy są znaczne zmiany stylu życia: mniejsza aktywność fizyczna, związana z urbanizacją i nieracjonalne odżywianie się tj. zbyt kaloryczne i zbyt przetworzone z ciągle wzrastającą rolą fast food?u.Badania laboratoryjne dla osób otyłych i potencjalnych cukrzykówOtyłość połączona z brakiem aktywności fizycznej powoduje oporność organizmu na insulinę. Ta z kolei sprawia, że dochodzi do podwyższonego stężenia insuliny i równocześnie glukozy. Podniesiony poziom glukozy powoduje uszkodzenia wielu narządów (głównie naczyń krwionośnych i nerek), a w konsekwencji powikłania cukrzycy, które prowadzą często do fatalnych skutków (śmierć sercowo-naczyniowa, udary mózgu).1. Badanie poziomu glukozy we krwi na czczoPowinno być wykonywane przynajmniej raz na 3 lata, a w przypadku osób z tak zwanej grupy ryzyka (m.in. powyżej 45 roku życia, otyłych, z nadciśnieniem, mających członków rodziny chorych na cukrzycę) co roku. Wykonywane jest na czczo, przynajmniej 8 godzin od ostatniego posiłku (optymalnie 12 godzin) z uwzględnieniem soku i kawy. Wyniki mogą wskazywać na brak zaburzeń gospodarki węglowodanowej lub na tzw. stan przed cukrzycowy lub cukrzycę.2. Doustny test tolerancji glukozyTest zlecany przez lekarza w przypadku, gdy wynik pomiaru stężenia glukozy na czczo, w dwóch różnych dniach, uplasuje się w przedziale 100-125 mg/dl. W dniu testu należy rano zgłosić się na czczo do laboratorium ogólnopolskiej sieci Diagnostyka. Po pierwszym pobraniu krwi na czczo badanemu zalecane jest wypicie 75 g glukozy rozpuszczonej w wodzie. Drugie pobranie krwi dokonywane jest po dwugodzinnym okresie oczekiwania w pozycji siedzącej, w poczekalni punktu pobrań (należy unikać ruchu i wysiłku, a przede wszystkim pozostać na czczo). Badanie polega na monitorowaniu reakcji organizmu na podaną glukozę. Określa się szybkość wydzielania insuliny po podaniu glukozy i jej wpływ na poziom glukozy w krwi badanego. Wynik testu pozwala na stwierdzenie ewentualnej insulino oporności, która jest jedną z przyczyn cukrzycy typu 1 i 2.3. LipidogramLipidogram oznaczany jest w celu stwierdzenia dyslipidemii, zaburzeń (zwykle podwyższonych stężeń) poziomu trójglicerydów i cholesterolu, zarówno całkowitego, jak i dwóch jego frakcji. Frakcja HDL, czyli lipoproteina o wysokiej gęstości, zwana potocznie dobrym cholesterolem, odpowiedzialna jest za transport cholesterolu do wątroby. Z kolei LDL (lipoproteina o niskiej gęstości) to tzw. zły cholesterol, który uczestniczy w powstawaniu blaszek miażdżycowych w ścianach tętnic, co prowadzi do utrudnienia przepływu krwi i zawału serca lub mózgu, w zależności od umiejscowienia zakrzepu.
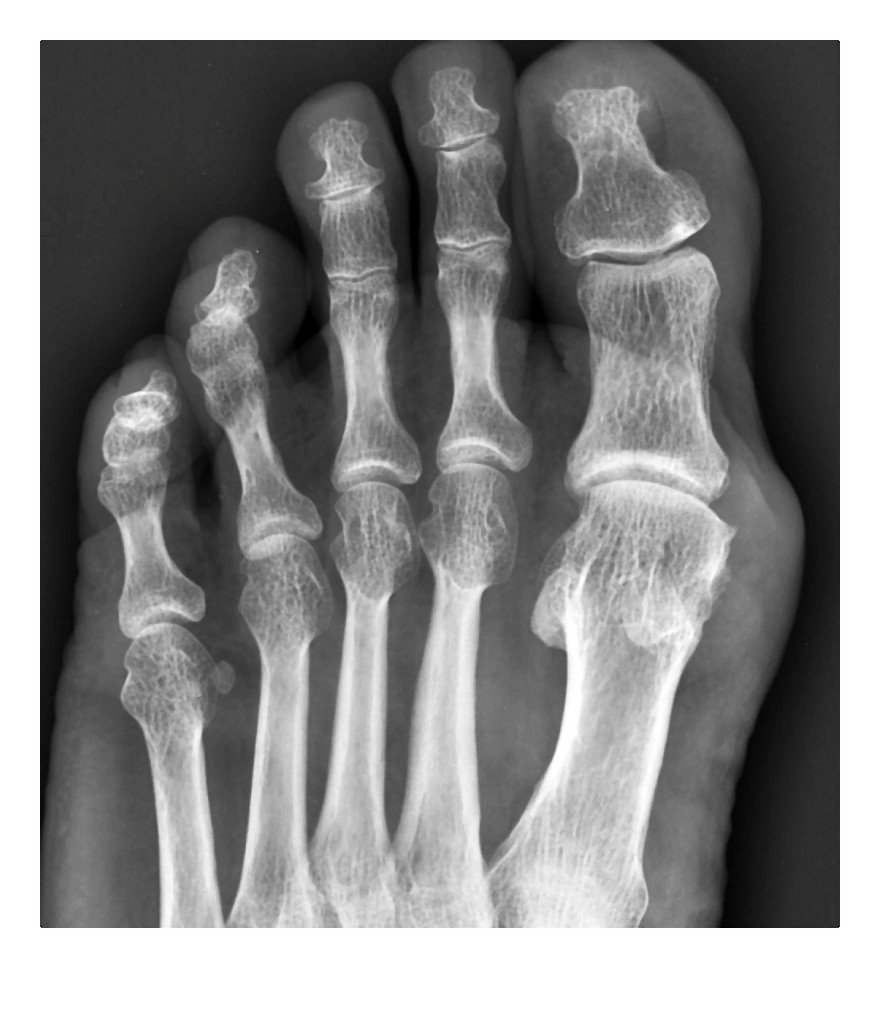
4. Badania biochemiczne wątrobyWątroba osób spożywających zbyt dużo tłuszczu lub nadużywających alkoholu może ulegać uszkodzeniu. W ocenie stanu komórek wątroby (hepatocytów) pomocne jest ustalenie aktywności tzw. enzymów wątrobowych. W wyniku uszkodzenia hepatocytów (przy niedotlenieniu lub pod wpływem działania toksyn lub wirusów) wzrasta aktywność enzymów wątrobowych uwalnianych z hepatocytów do krwi. Badanie stopnia uszkodzenia komórek wątrobowych polega na zmierzeniu we krwi aktywności ALT (Alat, aminotransferazy alaninowej), AST (Aspat, aminotransferazy asparaginianowej), ALP (fosfatazy zasadowej, inaczej alkalicznej), BIL (Bilirubiny całkowitej) i GGTP (Gamma-glutamylotransferazy). Badania te są objęte historyczną nazwą próby wątrobowe i, gdy są wykonywane łącznie, badany powinien być na czczo. Kolejne fazy uszkodzenia wątroby mogą prowadzić do włóknienia wątroby i w konsekwencji do marskości wątroby. Diagnostyka dysponuje badaniami biochemicznymi, które pozwalają na nieinwazyjną ocenę stopnia włóknienia wątroby i stopnia aktywności martwiczo-zapalnej o podłożu wirusowym (HCV, HBV). Panel badań przydatnych w diagnostyce tych schorzeń to FibroTest i FibroMax. Fibromax dodatkowo ocenia stopień stłuszczenia wątroby i stopień aktywności martwiczo-zapalnej o podłożu metabolicznym i alkoholowym. Wyniki badań mogą być wskazaniem do wykonania biopsji wątroby będącej badaniem rozstrzygającym. 5. Inne badania istotne w diagnostyce i monitorowaniu leczenia cukrzycy to pomiar:- stężenia insuliny - badanie zalecane w celu oceny ryzyka miażdżycy, chorób niedokrwiennych serca i nadciśnienia- peptydu C - odzwierciedla rzeczywistą ilość insuliny wytwarzanej w organizmie- glikowanej hemoglobiny (HbA1c) - odzwierciedla stężenie glukozy w okresie 3-4 miesięcy poprzedzającym badanie, jest retrospektywnym wskaźnikiem glikemii oraz wskaźnikiem rozwoju przewlekłych powikłań cukrzycy- fruktozaminy - wykonywany w przypadku chorych na niestabilną cukrzycę- ciał ketonowych w moczu - stosowany szczególnie w monitorowaniu leczenia cukrzycy typu 1- albuminy w moczu - pozwala na wykrycie minimalnych ilości białka wydalanego z moczem, co jest pierwszym sygnałem uszkodzenia nerek w przebiegu cukrzycy.Dna moczanowaJest chorobą, w przebiegu której dochodzi do nieprawidłowego ciągu przemian metabolicznych zasad purynowych, których końcowym produktem przemiany jest kwas moczowy. Kiedyś była postrzegana jako choroba ludzi bogatych i kojarzona z bogatą w mięso, alkohol i tłuszcze dietą. Objawia się nawrotowym zapaleniem i napadami bólu w stawach, głównie śródręczno-paliczkowym palucha, skokowym czy kolanowym.Objawy są spowodowane wytrącaniem się kwasu moczowego w stawach i strukturach okołostawowych wtedy, gdy we krwi następuje podwyższenie poziomu kwasu. Napady bólu, które trwają od kilkunastu dni do kilku tygodni, najczęściej wywoływane są przez wysiłek fizyczny, alkohol, uraz, niektóre leki oraz zabiegi operacyjne. Kilka lat po pierwszym napadzie rozwija się przewlekłe, wielostawowe zapalenie, w którym w okolicy stawów powstają złogi moczanów tzw. guzki dnawe.Nadmierny wzrost stężenia kwasu moczowego (hiperurykemia) może mieć charakter pierwotny (rozwija się w wyniku wrodzonych defektów metabolizmu) lub wtórny, który jest konsekwencją m.in. zwiększonej podaży niektórych produktów w diecie. Powikłaniami hiperurykemi może być dna moczanowa i uszkodzenie nerek. Profilaktyka dny opiera się na unikaniu produktów bogatych w puryny, podrobów (wątróbka), zup gotowanych na mięsnych wywarach czy warzyw strączkowych (groch, soczewica). Warto ograniczyć również picie herbaty i kawy, które mają działanie moczopędne. Nie należy zakwaszać organizmu słodyczami, tłustymi wyrobami czy napojami typu cola. Osobom otyłym w walce z dną pomoże pozbycie się zbędnych kilogramów. W tej sytuacji nie warto jednak działać na własną rękę, gdyż źle dobrany wysiłek fizyczny i dieta mogą pogorszyć stan chorego. Dlatego warto odchudzać się pod okiem reumatologa i dietetyka.
Diagnozowanie dny moczanowejPodstawowym badaniem jest oznaczenie stężenia kwasu moczowego w surowicy krwi, które można wykonać w Diagnostyce. Zalecanym badaniem jest analiza moczu, w której sprawdza się poziom wydalania tego kwasu z organizmu. Alarmujący wynik tych badań może być podstawą do badania płynu stawowego, pobieranego przez lekarza w celu identyfikacji kryształków moczanu sodu. To badanie jest rozstrzygające dla rozpoznania artretyzmu.Tarczyca i jej hormonyTarczyca, gruczoł wydzielania wewnętrznego, umiejscowiona jest płytko pod skórą, w przedniej części szyi. Dzięki temu jej patologiczne powiększenie jest szybko dostrzegane, przez chorego i jego otoczenie. Produkowane przez tarczycę hormony i ich metobolity tj. trójjodotyronina (T3), tyroksyna (T4) oraz ich aktywne formy - wolna T3 (fT3) i wolna T4 (fT4), a także kalcytonina (Ct), wpływają na metabolizm oraz gospodarkę fosforanowo-wapniową organizmu.Na czynność gruczołu tarczycowego ma wpływ poziom jodu. W przypadku stosowania jodowanej soli kuchennej, nawet w terenach podgórskich, podaż jodu jest wystarczająca. Regulacja działania tarczycy odbywa się w osi podwzgórze-przysadka-tarczyca. Hormony wpływające na aktywności tarczycy to tyreoliberyna (TRH) i hormon tyreotropowy (TSH), które są uwalniane przez znajdujące się w mózgu odpowiednio, podwzgórze i przysadkę. Obydwa hormony pobudzają lub hamują produkcję hormonów tarczycy. W uproszczeniu, spadek stężenia TSH świadczy o nadczynności tarczycy, a wzrost stężenia o jej niedoczynności.Nadczynność tarczycy (hipertyreoza) oznaczająca nadmierną produkcję hormonów tarczycy, spotykana jest częściej u kobiet niż u mężczyzn. Jej typowymi objawami są: uczucie gorąca, nadmierne pocenie się, utrata masy ciała pomimo zwiększonego apetytu, przyspieszenie tętna i kołatanie serca, powiększenie obwodu szyi, niepokój, drżenie rąk, bezsenność. Niedoczynność tarczycy (hipotyreoza), związana z niedostateczną produkcją hormonów tarczycy, występuje około 5 razy częściej u kobiet niż u mężczyzn, a jej częstość zwiększa się z wiekiem. Objawy niedoczynności to: wzrost masy ciała, osłabienie, senność, uczucie chłodu, obrzęki podskórne, zaparcia, suchość skóry, łamliwość włosów i zwolnienie czynności serca.Oznaczenie poziomu hormonów tarczycyW sieci Diagnostyka możliwe jest oznaczanie hormonów obrazujących fizjologiczny stan tarczycy. Podstawowe oznaczenia dotyczą TSH oraz FT3 i FT4, czyli tzw. frakcji wolnej hormonów T3 i T4, gdyż tylko one są czynne biologicznie. Oznaczenie wyłącznie TSH ma mała wartość diagnostyczną, gdyż istnieje szereg patologii tarczycy związanych z jej niedoczynnością lub nadczynnością, w których stężenie TSH jest prawidłowe przy ewidentnych odchyleniach wartości hormonów tarczycy: FT4 i FT4. Badanie tarczycy należy do najtańszych oznaczeń immunochemicznych, wykonywanych z jednej próbki krwi. Nie wymaga skierowania lekarza. Ogólnopolska sieć laboratoriów medycznych Diagnostyka prowadzi kampanię profilaktyczną pt. ?Jestem kobietą i dbam??. Jej przyczyną jest fakt, iż kobiety zwykle dbają o zdrowie nie tylko swoje, ale i całej rodziny. Na wiosnę tego roku zakończył się pierwszy etap poświęcony samym kobietom, natomiast od 1 września do 30 listopada 2014 trwa etap pt. ?Jestem kobietą i dbam o partnera? i skierowany jest do mężczyzn, którzy badają się raczej niechętnie.W ramach obecnie trwającego etapu kobiety mogą uzyskać bon z 70% zniżką na badania dla swojego partnera, np. w kierunku chorób metabolicznych. W tym celu powinny zarejestrować się na stronie kampanii http://www.kobieta.diagnostyka.pl/ i odpowiedzieć na pytanie dlaczego dbają o swojego mężczyznę. Autorka najciekawszej odpowiedzi wygra tygodniowy pobyt w Alpach Włoskich dla dwóch osób, natomiast kolejnych 10 kobiet uda się z partnerem na weekendowy pobyt w SPA. Oprócz tego dla uczestników konk



ursu przygotowano zestawy balneokosmetyków. Fundatorami nagród jest Biuro Podróży Wygoda Travel, Flora Pro.Activ oraz Balneokosmetyki z Malinowego Zdroju. Kolejne etapy kampanii w 2015 r. skierowane będą do kobiet dbających o dzieci oraz o rodziców.