Data publikacji: 2020-12-11
Oryginalny tytuł wiadomości prasowej: INNOWACYJNA OPERACJA STAWU SKOKOWEGO Z WYKORZYSTANIEM HYBRYDOWEGO WSZCZEPU
Kategoria: Zdrowie, LIFESTYLE
Jesienią odbyły się pierwsze w Polsce (i jedne z pierwszych w Europie) innowacyjne operacje stawu skokowego z wykorzystaniem hybrydowego wszczepu.
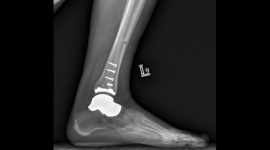
Jesienią odbyły się pierwsze w Polsce (i jedne z pierwszych w Europie) innowacyjne operacje stawu skokowego z wykorzystaniem hybrydowego wszczepu. Ich istotą było połączenie implantu kości skokowej z endoprotezą stawu skokowego. To rozwiązanie dla pacjentów z dużym uszkodzeniem kości skokowej.
Nowa proteza składa się z indywidualnie wykonanego, ?szytego na miarę? implantu kości skokowej, który zastępuje blokującą ruch w stawie skokowym i podskokowym zniszczoną kość skokową, oraz połączonego z nim elementu piszczelowego protezy stawu skokowego. W takim zestawieniu obie protezy tworzą wszczep hybrydowy, pozwalający na przywrócenie prawidłowego ruchu w stawie.
? Implant hybrydowy, zastępujący staw i całą kość skokową, nie był dotychczas stosowany w Polsce ? mówi lek. Andrzej Komor, ortopeda z kliniki Carolina Medical Center, który wykonał pierwsze operacje. ? Kość skokowa to kluczowy element mechanizmu stopy i stawu skokowego. Jeśli jest uszkodzona, staw przestaje funkcjonować. W sytuacji, gry zmiany zwyrodnieniowe dotyczą wyłącznie powierzchni stawowej kości, wykonywana jest standardowa procedura endoprotezoplastyki. Natomiast w przypadku, kiedy uszkodzona jest duża część kości, należy usztywnić cały staw lub zastąpić zniszczoną kość i staw implantami.
Innowacyjną protezę wszczepiono w Carolina Medical Center u ponad 50-letnich pacjentek ze zmianami zwyrodnieniowymi stawu skokowego i zniszczoną pourazowo kością skokową.
? Wszczepienie implantu kości skokowej można stosować u dwóch grup pacjentów. Pierwsza to osoby z wieloodłamowym złamaniem kości skokowej, które nie rokuje na prawidłowe zespolenie i odtworzenie powierzchni stawowej (są to świeże urazy do natychmiastowej operacji). Druga grupa to pacjenci z występującymi już powikłaniami takiego złamania, u których dochodzi do tzw. jałowej martwicy kości skokowej. Kość skokowa ulega zniszczeniu, rozkawałkowaniu, a to prowadzi do zablokowania ruchu w stawie skokowym, skrócenia długości kończyny oraz silnych dolegliwości bólowych. Pacjent zmuszony jest do chodzenia z pomocą kul i często wymaga leczenia przeciwbólowego ? opisuje lek. Andrzej Komor.
Implant kości skokowej może być alternatywnym sposobem leczenia dla pacjentów, dla których dotychczas nie było rozwiązania innego niż usztywnienie stawu skokowego lub obuwie ortopedyczne. Pierwsze tego typu operacje przeprowadzane były w Japonii. W Polsce, w niewielkim odstępie czasu, operacjom poddały się dwie pacjentki. Każda z kobiet od ponad 3 lat cierpiała z powodu jałowej martwicy kości skokowej ? ruch stawu skokowego był całkowicie zablokowany, pacjentki nie miały możliwości stanięcia na całej stopie. Obie pacjentki chodziły o kulach i codziennie przyjmowały leki przeciwbólowe.
Warunkiem dobrego wyniku operacji jest precyzyjne zaprojektowanie i wykonanie implantu kości ? każdorazowo na miarę, dla danego pacjenta.
? Gdy kość jest zniszczona i nie można jej odwzorować bezpośrednio, wówczas punktem odniesienia jest ta sama kość z drugiej kończyny, a właściwie jej lustrzane odbicie. Trzeba jeszcze pamiętać, że nowa kość musi idealnie pasować do pozostałych kości stopy: piętowej, łódkowatej, klinowatej ? mówi lek. Andrzej Komor. ? Aby tego dokonać, robimy tomografię komputerową obu stawów. Na podstawie tomografii wykonywane są wydruki 3D zniszczonej kości oraz zdrowego stawu drugiej nogi. Wtedy przychodzi faza dopasowywania do stawu i kalibracji wymiarów ? w całym procesie korzystamy ze specjalnego programu komputerowego.
Nowa metoda pozwala powrócić pacjentom do aktywności zbliżonej do tej sprzed urazu. Czas rekonwalescencji, w którym dochodzi się po operacji do funkcjonowania i odzyskania zakresu ruchu, szacowany jest na 3 ? 4 miesiące. To także czas, w którym dochodzi do tzw. osteointegracji czyli wrośnięcia kości w porowate części endoprotezy. Bardzo istotna jest prawidłowa rehabilitacja pod okiem specjalistów. Obie pacjentki operowane w Carolina Medical Center po 6 tygodniach od operacji nie musiały już korzystać z kul; wróciły do dawnej aktywności, nie biorą leków przeciwbólowych, ich jakość życia znacząco się poprawiła.
Niewiele jest przeciwwskazań do przeprowadzenia tego typu operacji. Zabiegowi nie mogą poddać się pacjenci z jakąkolwiek czynną infekcją ? nawet taką, jak czyrak czy próchnica zębów, infekcje w obrębie pęcherza moczowego, a nawet niewielkie rany skóry. Przeciwwskazaniem jest także zniszczona na skutek urazu skóra, która nie pozwala na przeprowadzenie operacji ? w takiej sytuacji konieczna jest konsultacja chirurga plastyka i przeszczep, który uzupełni uszkodzone fragmenty skóry.
***
Informacje o ekspercie
lek. Andrzej Komor ? specjalista ortopedii i traumatologii narządu ruchu. W pracy klinicznej specjalizuje się w chirurgii stawu skokowego: rekonstrukcjach artroskopowych i ?otwartych? uszkodzeniach więzadeł i ubytków chrzęstno-kostnych, osteotomiach korekcyjnych okołostawowych, endoprotezoplastyce stawu skokowego. Absolwent Akademii Medycznej w Warszawie, doskonalił umiejętności podczas licznych staży m.in. w Hiszpanii, USA i Izraelu.
Kontakt dla mediów:
Carolina Medical Center
Jowita Niedźwiecka
tel.: 885 990 904
e?mail: [email protected]
Omega Communication
Aleksandra Stasiak
tel.: 602 115 401
e?mail: [email protected]
Informacje o Carolina Medical Center
Carolina Medical Center to pierwsza w Polsce prywatna placówka medyczna specjalizująca się w leczeniu i prewencji urazów układu mięśniowo?szkieletowego. Zatrudnia m.in. specjalistów ortopedii, neurochirurgii, chirurgii dziecięcej, reumatologii, neurologii i rehabilitacji. Zapewnia kompleksową opiekę medyczną ? całodobowe ambulatorium urazowe, konsultacje specjalistyczne, diagnostykę obrazową i funkcjonalną, leczenie operacyjne i nieinwazyjne, rehabilitację, badania biomechaniczne, trening motoryczny. Klinika ma placówkę w Warszawie i Gdańsku.
Klinika ma bardzo duże doświadczenie w medycynie sportowej ? wieloletni partner medyczny Polskiego Komitetu Olimpijskiego i Polskiego Baletu Narodowego. Placówka została także wybrana przez Europejską Unię Piłkarską (UEFA) do sprawowania opieki medycznej nad uczestnikami UEFA EURO 2012, a Międzynarodowa Federacja Piłkarska wyróżniła ją tytułem FIFA Medical Centre of Excellence.
Carolina Medical Center jest częścią Grupy LUX MED ? lidera rynku prywatnych usług medycznych w Polsce.
Więcej informacji o Carolina Medical Center można znaleźć na www.carolina.pl
źródło: Biuro Prasowe
Załączniki:
Hashtagi: #Zdrowie #LIFESTYLE
